Periodontal disease is a chronic infection of the gingiva (gums) caused by inflammation that leads to destruction of the underlying supporting bone. As plaque and bacteria mature around the gum line, they begin to calcify and form calculus (tartar). This often leads to a deepening of gums around the teeth (pockets), which acts as a niche for plaque and bacteria. If left untreated, this can lead to destruction of the bone and gums.
Periodontal disease is characterized by red, swollen, and bleeding gums. As the symptoms worsen, periodontal disease is often associated with bleeding, loosening of teeth, receding gums, bad breath, and pus around the teeth or gums.
Research has demonstrated that smoking, heart disease, and diabetes are also associated with periodontal disease.
The earliest forms of periodontal disease are often best treated with non-surgical forms of periodontal treatment. This usually consists of scaling and root planing (deep cleaning) to remove plaque and calculus beneath the gum line. Scaling is performed with local anesthesia to numb the gums, and specialized ultrasonic instruments are used to clean the teeth and gums. Root planing is performed to smooth the roots and clean them of toxins. Medications, special mouth rinse, and an electric toothbrush may be recommended to help control the infection and promote healing.
A re-evaluation appointment is scheduled four to six weeks after the completion of non-surgical therapy to evaluate the healing response. If the pockets do not heal after non-surgical therapy, periodontal surgery may be needed to reduce pocket depths, making teeth easier to clean.
Periodontal disease is a chronic, destructive disease of the gums and underlying bone caused by bacterial plaque that forms on the tooth surfaces. As the plaque calcifies into calculus (tartar), it leads to an inflammatory response that destroys the underlying bone. If left untreated, the calculus will begin to enlarge and cause further bone destruction, leading to loosening of teeth and, eventually, tooth loss.
Mild forms of periodontal disease can often be treated with non-surgical forms of periodontal therapy. Moderate and deep pockets around teeth are more difficult for you and your dental care professional to clean.
Moderate and severe forms of periodontal disease generally benefit from having a surgical cleaning to completely clean the root surfaces from the calcified plaque. In this procedure, small incisions are made around the teeth to allow the gums to be gently folded back in order to clean the root surfaces of calculus and infected gum tissues. Occasionally, the bone is also smoothed to eliminate areas that may serve as niches for bacterial growth. This also allows the gums to reattach to healthy bone.
Periodontal surgery cleans the teeth of destructive bacterial plaque and calculus, reduces the deep pockets in the gums, and allows for a healthy oral environment that is more easily cleaned by you and your dental team.
When dental cavities progress below the gum line, it is often difficult or impossible for your dentist to properly restore the tooth. In these situations, functional crown lengthening is the best course of treatment to properly restore your tooth to optimal health.
Crown lengthening is a surgical procedure that contours the gum tissue and underlying bone surrounding the teeth. This procedure is designed to expose healthy tooth structure that is not infected with cavities. As a result, your dentist will be able to fabricate a crown or filling that properly fits your tooth. This is an important part of an effort to optimize your health, appearance, comfort, and function.
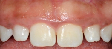
Esthetic crown lengthening is a surgical procedure designed to enhance your smile. Some patients have a “gummy” smile where their teeth appear too short. In many situations, the teeth are actually the proper length, but are covered with excess gums. In other circumstances, the gum line appears uneven with some teeth appearing longer than others.
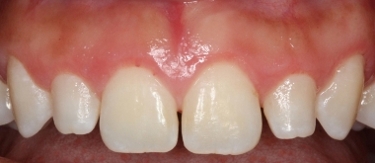
With esthetic crown lengthening, the gums are sculpted to appear more natural, while also exposing your beautiful smile underneath.


Before

After
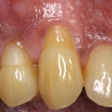
Aggressive tooth brushing and periodontal disease are the two leading causes of gingival recession, causing the tooth roots to be exposed. The root surfaces are not as hard as the enamel on the crown of the tooth, which often leads to increased thermal sensitivity as well as having an increased risk of developing root cavities.
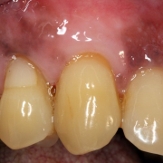
The purpose of gingival grafting is to create firm, attached gum tissue and to cover the exposed root surfaces. By improving on the quality of the gum tissue around the tooth, this will provide an environment more resistant to toothbrusing forces and help prevent further recession. Covering the exposed root surfaces enhances the appearance of the teeth, reduces root surface sensitivity, and helps prevent the formation of root cavities.
Gingival grafting procedures involve transplanting a small piece of gum tissue from the roof of your mouth onto the root surface. In addition, a sterilized donor tissue from a tissue bank is often used instead. Minimally invasive surgical techniques and micro-incisions are used in most situations. This provides for minimal post-operative discomfort and down time.


Before

After
Bone grafting is a procedure that is utilized to regrow some of your lost bone caused by periodontal disease or tooth loss. There are multiple situations where bone grafting is indicated to provide you with the highest level of oral health and function.
Reasons for bone grafting
In many situations, patients suffering from periodontal disease have severe bone loss around their teeth. In many of these cases, the bone destruction can be repaired by bone grafting procedures.
Bone grafting is also recommended after tooth loss. The purpose of the bone is to support the teeth. When teeth are lost, the function of the bone is gone and the bone will begin to shrink. Bone grafting procedures are recommended to replace the missing bone in order to enhance your smile or to allow for the placement of a dental implant.
Bone grafting procedure
In conjunction with periodontal surgical procedures to clean the teeth, bone may be grafted around the teeth. A bone graft is often covered by a membrane (“surgical band-aid”) to help stabilize the graft and protect it from the oral environment. In addition, dental proteins may be recommended to enhance the regeneration of lost bone.
Bone grafting may be recommended after tooth loss in order to allow for the placement of a dental implant. Placing a bone graft immediately after a tooth is removed will help prevent the remaining bone from shrinking. The bone graft is then covered by a membrane to prevent the graft from being lost. This will make dental implant placement easier in the future.
If a bone graft is not performed at the time of tooth loss, a separate procedure may be needed to regenerate lost bone. This procedure will increase the width of the bone, and after a few months of healing, will allow for dental implant placement.
Dental implants provide a way to replace missing teeth with replacement teeth that will look, feel, and function like natural teeth. A dental implant will provide a restorative option that does not require adjacent teeth for support.
A dental implant is a small titanium screw that is placed in the jawbone where a tooth is missing. The bone will bond with the surface of the implant, creating a strong foundation for artificial teeth. A small connector called an abutment attaches to the implant and the artificial tooth that it is supporting.
Dental implants have many uses to restore your mouth to optimal health and function. They may be used to replace single or multiple teeth, or even to make your dentures more retentive.
For most patients, the placement of dental implants involves two surgical procedures. First, the implant is placed within your jawbone. The implants then heal for three to six months below the surface of the gums. During this healing period, you should be able to wear temporary dentures or another temporary restoration.
After the implant has integrated with the bone, the implant will be exposed in a second surgical procedure. A small healing cap will be placed on the implant to protect the implant and shape the gums. After two weeks, your dentist will be able to start making your new teeth. After your dentist makes the final restoration, an abutment is used to connect it to the implant.
Sinus augmentation, often referred to as a sinus lift, is a specialized bone grafting procedure that allows for the placement of dental implants in compromised areas. In some situations, large sinuses in your upper jaw may limit the amount of bone available for implant placement. Without increasing the amount of bone available through sinus augmentation, dental implant placement would not be possible.
In some circumstances, a sinus lift can be performed at the same time as implant placement. In many cases, the sinus augmentation is done before the implants are placed. In this procedure, bone is grafted underneath the sinus lining, allowing for new bone formation. The area is allowed to heal for six months before implants are placed.